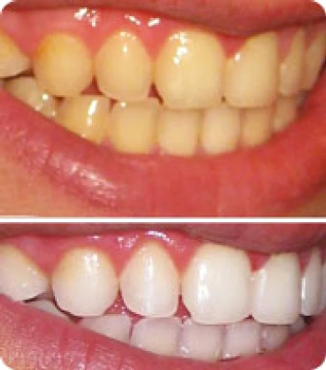
Cum să previi îngălbenirea dinţilor

Bea lichidele cu paiul
Cu toate că detartrajul este una dintre cele mai bune modalităţi de albire a dinţilor, efectele se pastrează pe termen lung, doar dacă eviţi să consumi multe alimente care “pătează”, precum ciocolată, cafea, cola, sucuri acidulate. În cazul băuturilor există o metodă simplă de a reduce contactul dintre lichide şi dinţi: folosirea unui păi
Mănâncă mere
Merele, ţelina şi morcovii se numără printre alimentele care au efecte benefice asupra dinţilor. Atunci când le mesteci, acestea acţionează că periuţă de dinţi, curăţând zonele dintre dinţi, locuri în care deseori rămân resturi alimentare.
Spală-te cu bicarbonat de sodiu
Foloseşte bicarbonat de sodiu în combinaţie cu puţină apă pentru a scapă de petele de pe dantură. Perierea dinţilor cu bicarbonat de sodiu timp de câteva luni te va ajută să îţi menţii dinţii albi şi strălucitori, fără a fi nevoit să recurgi la ajutorul dentistului.























